Raw Materials for MDx Enzymes for Molecular Diagnostics
제품문의
Thermo Reverse Transcriptase
200 units/μl, 2,000 units/μl
- 재조합 M-MLV RTase (RNaseH negative)
- 42~55 ℃ 에서의 활성 (최적 반응온도 : 50 ℃)
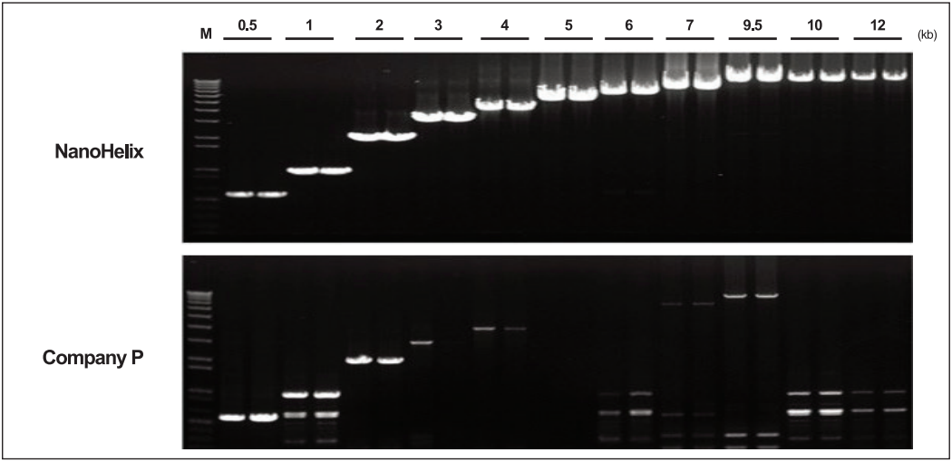
- 높은 processivity와 productivity (Up to 12 kb or more)
- RT-PCR 반응에 최적화
Products
| Cat.No. | Product | Feature | Size |
|---|---|---|---|
| BRT | HelixCript™ Thermo Reverse Transcriptase (200unit/μl), Bulk | 200 units/μl | Custom |
| BCRT | HelixCript™ Thermo Reverse Transcriptase (2,000unit/μl), Bulk | 2,000 units/μl | Custom |
본 제품은 HelixCript™ Thermo Reverse Transcriptase의 bulk 공급 품목입니다.
대량 구매를 원하시면 sale@nanohelix.net으로 문의주시기 바랍니다.
HelixCript™ Thermo Reverse Transcriptase는 RNase H-negative M-MLV 역전사효소(reverse transcriptase, RTase) 변형체입니다. 열에 안정적인 이 RTase는 42 ~ 55℃의 온도 범위에서 RNA 주형으로부터 cDNA를 합성할 수 있으며, 50℃에서 가장 높은 활성을 나타냅니다. 본 제품의 우수한 역전사 효율은 template RNA에서 최대 12kb까지 cDNA를 합성할 수 있습니다.
Application
- cDNA library 제작 또는 클로닝을 위한 최대 12 kb의 1st strand cDNA 생성
- two-step / one-step RT-PCR
- RT-PCR / real-time RT-PCR
- 바이러스 RNA 검출

