DNA-RNA Amplification PCR Enzymes Routine PCR
Taq-Plus Polymerase

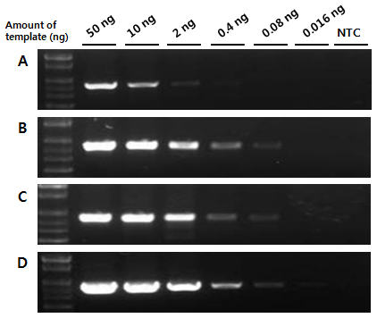
Excellent speed and efficiency, even challenging target, with improved performance.
- Excellent amplification efficiency and high specificity
- Equipped with PMT (Polymerase Modulator on Temperature) technology
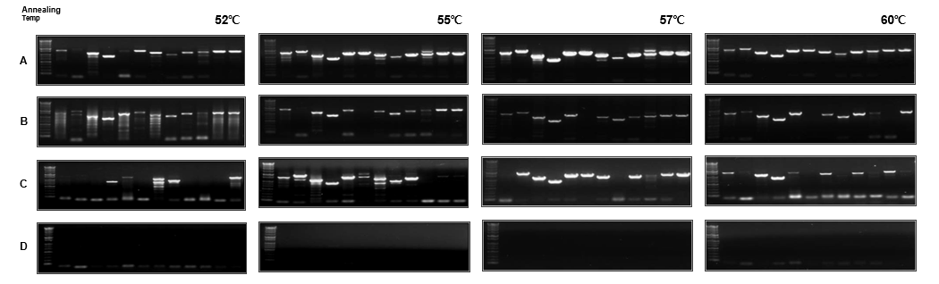
- Broad range of annealing temperatures
- Minimized non-specific amplification and primer-dimer formation
Products
| Cat.No. | Product | Size |
|---|---|---|
| TP250 | HelixAmp™ Taq-Plus Polymerase | 250 rxns |
| TP500 | HelixAmp™ Taq-Plus Polymerase | 500 rxns |
| TP2500 | HelixAmp™ Taq-Plus Polymerase | 2,500 rxns |
HelixAmp™ Taq-Plus Polymerase is an improved form of HelixAmp™ Taq Polymerase and amplifies target DNA at broad-range of annealing temperature. NanoHelix’s “PMT (polymerase modulator on temperature) technology” is applied in the buffer system, which is effective to reduce primer-dimer formation and non-specific amplification during the PCR. This enzyme is an optimized blend of HelixAmp™ Taq Polymerase and HelixAmp™ Power-Pfu Polymerase. HelixAmp™ Taq-Plus Polymerase possesses the greater yield, processivity and fidelity than normal Taq polymerase. The fidelity of HelixAmp™ Taq-Plus Polymerase is higher approximately 4 times than that of Taq polymerase. The 5x Reaction Mix [TP] contains buffers, dNTPs, Mg2+, and glycerol in appropriate concentrations. In case of PCR amplification of target DNA with high G+C content or structural problem, such as repeat sequence, the application of TuneUp™ Solution improves the specificity and productivity of the reaction.



